CASO DEL MES
AGENDA / CALENDARIO
ÚLTIMAS NOTICIAS
CASO DEL MES
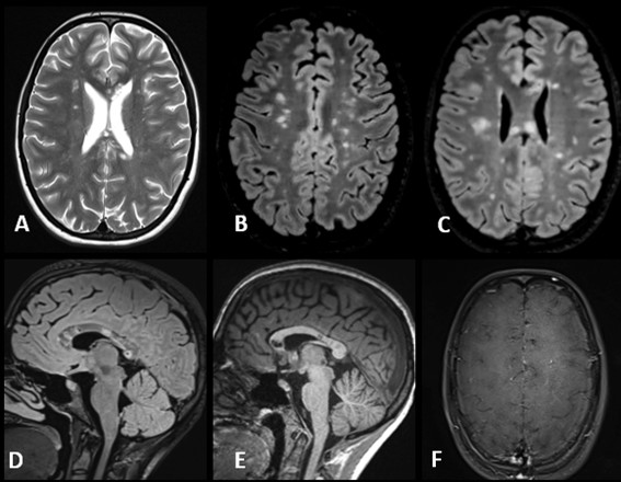
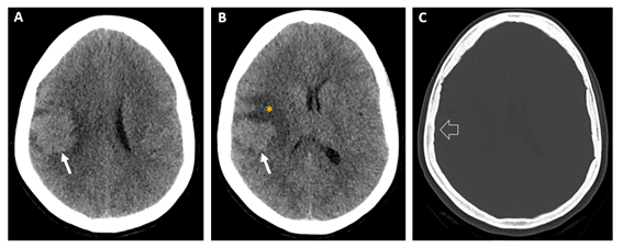
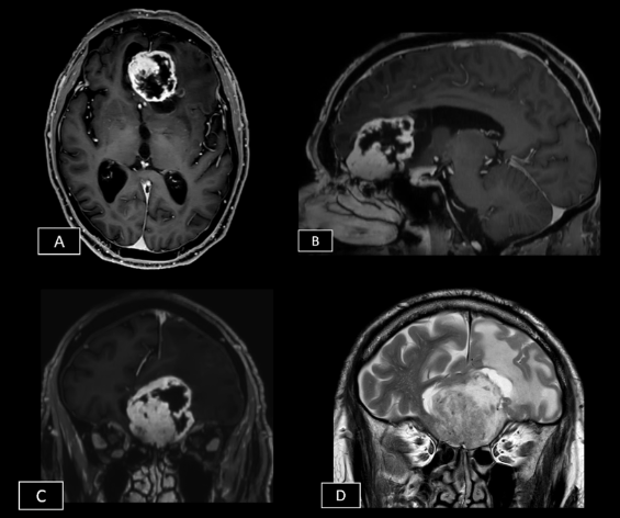
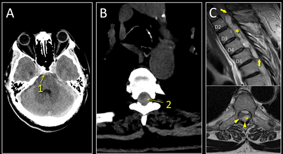
Caso del mes Noviembre 2025
Autor/Autores
Sara Septién Rivera; Josep Castell Aulet; Mildred Viveros Castaño. Área de Neurorradiología, Hospital Universitario de Bellvitge, Barcelona, España Mail: sseptien@bellvitgehospital.cat
AGENDA/CALENDARIO
/ Curso Nacional de Neurorradiología
XXII Curso Nacional de Neurorradiología
[et_pb_section fb_built="1" _builder_version="4.16" global_colors_info="{}"][et_pb_row _builder_version="4.16" background_size="initial" background_position="top_left" background_repeat="repeat" global_colors_info="{}"][et_pb_column type="4_4" _builder_version="4.16" custom_padding="|||" global_colors_info="{}" custom_padding__hover="|||"][et_pb_text _builder_version="4.27.4" background_size="initial" background_position="top_left" background_repeat="repeat" hover_enabled="0" global_colors_info="{}" sticky_enabled="0"] 19 y 20 de febrero de 2026 SEDE: MOOBY ARIBAU CINEMA Carrer d’Aribau, 8…
Jue, 19/02/2026 - 20/02/2026
/ Otros Eventos
FUNCTIONAL MRI AND TRACTOGRAPHY IN BRAIN TUMORS: HANDS-ON-WORK
Europa Convention Center, Vitoria- Gasteiz (Spain) 13-14 Noviembre 2025 Descuento miembros SENR. Programa y más info clicando aquí.
Jue, 13/11/2025 - 14/11/2025
/ Reuniones anuales
Reunión Anual SENR
Barcelona de 29 de octubre al 1 de noviembre Más información
Mié, 29/10/2025 - 01/11/2025
/ Otros Eventos
21º CURSO DE NEUROANATOMÍA FUNCIONAL Y NEURORRADIOLOGÍA
(Londres, 31 marzo-2 abril) <a href=https://www.ucl.ac.uk/ion/events/2025/mar/21st-annual-course-neuroradiology-functional-neuroanatomy-31st-march-3rd-april-2025" target=""_blank"" rel=""noopener"" data-saferedirecturl=""https://www.google.com/url?q=https://www.ucl.ac.uk/ion/events/2025/mar/21st-annual-course-neuroradiology-functional-neuroanatomy-31st-march-3rd-april-2025&
Lun, 31/03/2025 - 02/04/2025
Celebrada en el Congreso de los diputados la Jornada de presentación «Perspectivas para el abordaje integral del glioma de bajo grado con mutación IDH»
en el que participó la SENR. Clica aquí para ver...
Perspectivas para el abordaje integral del glioma de bajo grado con mutación IDH
Próximamente se celebra en el Congreso de los...
ESNR Summer School 3º Refresher Neuroradiology Course 23-26 Junio, 2025 – Antalya (Turquía)
La Escuela de Verano tiene como objetivo ofrecer...
REUNIÓN ANUAL SENR
CURSO ANUAL SENR
NEWSLETTER
29 de Octubre al 1 de noviembre de 2025
BARCELONA
BARCELONA

REUNIÓN ANUAL DE LA SENR
19 y 20 de febrero de 2026
BARCELONA
BARCELONA

REVISTA NEURORADIOLOGY
ÚLTIMAS NEWSLETTER








