Procedimientos neurorradiológicos
Tomografía computerizada
¿En qué consiste la exploración?
La exploración por Tomografía Computada consiste en un examen incruento y no doloroso que ayuda al médico a diagnosticar diferentes tipos de patologas.
El dispositivo para la exploración por TC consta de una máquina de gran tamaño con una apertura o túnel corto en el centro. El paciente se acuesta en una mesa de examen que se desliza dentro y fuera de este túnel. Numerosos haces de rayos X y un conjunto de detectores electrónicos de rayos X rotan alrededor del paciente, midiendo la cantidad de radiación que se absorbe en todo su cuerpo. Al mismo tiempo, la mesa de examen se mueve a través del dispositivo de exploración, de manera que el haz de rayos X siga una trayectoria en forma de espiral. Un programa especial informático procesa este gran volumen de datos para crear imágenes del interior de nuestro organismo en los tres planos del espacio. La estación de trabajo de la computadora que procesa información de las imágenes se encuentra ubicada en una sala aparte, desde donde el técnico opera el dispositivo de exploración y controla el examen.
Las imágenes de TC a veces se comparan con mirar dentro de un pan que se corta en finas rodajas. Cuando las finas imágenes son rearmadas por medio de un programa informático, el resultado consiste en una visualización multidimensional muy detallada del interior del cuerpo.

Equipo de tomografía computarizada.
La proyección de dibujos facilita el que en los niños se puedan realizar las exploraciones sin necesidad de sedación
¿Cómo debo prepararme?
Este tipo de examen no requiere una preparación especial. Es posible que se le solicite que no ingiera alimentos o bebidas durante las 6 horas previas al examen en los casos en los que a priori se pretenda usar contraste intravenoso. El personal técnico o de enfermería le realizará un pequeño cuestionario al tiempo que le informará de situaciones que contraindiquen la exploración. Debido a que es un estudio que usa radiaciones ionizantes las mujeres siempre deben informar si existe la posibilidad de que estén embarazadas, ya que en ningún caso se las expondrá a una radiación innecesaria. Los objetos de metal, como joyas, gafas, dentaduras postizas y broches para el cabello, pueden artefactuar las imágenes de TC, por lo que deben quitar antes de la exploración. Usted deberá informar si se encuentra tomando algún medicamento y si tiene algún tipo de alergia especialmente a los medios de contraste o al yodo, así como si sufre algún tipo de enfermedad importante tales como problemas cardíacos, asma, diabetes, insuficiencia renal o problemas de tiroides, ya que cualquiera de estas dolencias pueden aumentar el peligro de efectos adversos, por otro lado poco habituales. Una vez leído y debidamente cumplimentado el cuestionario, usted deberá firmar el consentimiento informado y se procederá a realizar la prueba. En el caso de menores o personas incapacitadas, un representante/tutor legal lo puede y debe firmar en representación.
¿Cómo se realiza?
Los dispositivos de exploración por TC modernos son tan veloces que pueden explorar amplios sectores del cuerpo en tan sólo unos segundos. Dicha velocidad es un beneficio para todos los pacientes pero especialmente en los niños, los ancianos y las personas gravemente enfermas. Habitualmente el tiempo de exploración no excede los 10-15 minutos. El técnico comienza colocando al paciente en la mesa de examen, generalmente boca arriba. Es posible que se utilicen correas y cojines para ayudar en que se mantenga una posición correcta y a que permanezca inmóvil durante el examen. Si se utiliza material de contraste, este será inyectado a través de una vena, generalmente del antebrazo derecho. A continuación, la mesa se moverá rápidamente a través del dispositivo de exploración para determinar la posición inicial correcta para las exploraciones, para luego volver a moverse mientras se realiza la obtención de las imágenes. Es posible que le soliciten que respire de una manera suave o no trague saliva durante la exploración y que hagan hincapié en que permanezca inmóvil. Si se utiliza material de contraste intravenoso, además del pinchazo leve que sentirá cuando se inserta la aguja en su vena, puede experimentar una sensación de calor durante la inyección del medio de contraste y un gusto metálico en su boca que dura unos minutos. De forma ocasional, se le puede desarrollar comezón y urticaria, que puede aliviarse con medicación. Si siente mareos o experimenta dificultades al respirar, debe informarlo inmediatamente al técnico o enfermera, ya que esto puede ser una señal de una reacción alérgica más grave. Un radiólogo u otro médico estarán disponibles para ayuda inmediata. Si bien durante la exploración por TC usted se encontrará a solas en la sala de examen, recuerde que el técnico podrá verlo, oírlo y hablarle en todo momento. Con los pacientes pediátricos, es posible que se le permita a uno de los padres entrar en la sala, pero se le exigirá que utilice un delantal de plomo para evitar la exposición a la radiación. En algunas ocasiones será preciso sedar o anestesiar al niño, si bien la rapidez de los equipos actuales hace menos necesaria esta actuación, que en todo caso será realizada por un especialista en anestesia. Una vez finalizada la exploración, un radiólogo analizará las imágenes y redactará un informe al médico solicitante. Le indicaran cuando tendrá los resultados y usted podrá retomar sus actividades habituales de forma normal.
En el estudio del cráneo y cerebro las principales indicaciones incluyen
Detección de lesiones óseas y cerebrales en traumatismos craneoencefálicos.
Detección de tumores, hemorragias o infartos en pacientes que han presentado cefalea aguda, un déficit neurológico agudo o una crisis epiléptica.
Detección de hidrocefalia en pacientes con cefalea crónica o con alteraciones de la marcha.
Detección de malformaciones congénitas.
Valoración de lesiones cerebrales en pacientes con deterioro cognitivo.
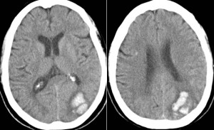
Tomografía computarizada cerebral.
Hemorragia cerebral.
En el estudio de la columna las principales indicaciones incluyen
Detección de lesiones óseas o del disco intervertebral en pacientes con lumbalgia o cervicalgia, asociada o no a dolores radiculares (dolor que se irradia por los brazos o piernas).
Estudio de lesiones óseas en pacientes con traumatismos que afectan la columna.
tomografia_computarizada_columna_cervical
Tomografía computarizada de columna cervical. Fractura de la columna cervical.
La exploración por TC también se utiliza para:
Evaluar en qué medida se encuentra dañado el hueso y el tejido blando en pacientes con traumatismo facial y planificar la reconstrucción quirúrgica.
Diagnosticar enfermedades del hueso temporal, que puede provocar problemas auditivos.
Determinar si la inflamación u otros cambios están presentes en los senos paranasales.
Estudio de lesiones que afectan la órbita.
Estudio de extensión de tumores del cuello.
Técnicas especiales de la TC en neurorradiología
La exploración de TC en neurorradiología puede utilizar algunas técnicas especiales como son la perfusión y la angiografia, que siempre se realizan con administración de contraste yodado inyectado a través de una vena, y que permiten obtener información sobre la vascularizacion de gran importancia en el estudio de enfermedades vasculares.

Angiografía de las arterias cervicales obtenidas mediante Tomografía Computarizada.
Resonancia Magnética
¿En qué consiste la exploración?
Es una técnica más moderna, incruenta, que a diferencia de los exámenes convencionales de rayos X y de la exploración por TC, no emite radiaciones.
Esta exploración obtiene imágenes del cuerpo humano a partir de ondas de radiofrecuencia que emiten los tejidos cuando se someten a un potente campo magnético, y que son captadas por unas antenas que se colocan alrededor de la zona del cuerpo humano que se pretende estudiar. Posteriormente, una computadora procesa las señales y genera una serie de imágenes, cada una de las cuales muestra una parte del cuerpo que serán estudiadas desde diversos ángulos e interpretadas por un radiólogo.
Los últimos avances en esta técnica permiten reconstrucciones tridimensionales del cuerpo humano, estudios para conocer la función de una determinada zona del cerebro (RM-funcional), sobre la anatomía vascular (Angio-RM) y la vascularización cerebral (Perfusión), o sobre la alteración de determinados metabolitos en el cerebro (RM espectroscópica).
Ofrece por tanto y en términos generales una mayor información que la TC, aunque ambas pruebas se complementan en muchas ocasiones. La principal desventaja con respecto al TC es que las exploraciones son más largas, es más cara y no se puede utilizar en personas portadoras de objetos ferromagnéticos o marcapasos.

Equipo de Resonancia Magnética.
El paciente se introduce en su interior.
¿Cómo debo prepararme?
Las pautas acerca de ingerir o beber antes de un examen de RM varían según el examen específico y el establecimiento. A menos que le indiquen lo contrario, debe seguir su rutina diaria normal y tomar los medicamentos como siempre. Una vez en el centro, el personal técnico o de enfermería le acompañará a un vestuario donde deberá desprenderse de su ropa y cualquier objeto metálico y ponerse una bata. Asimismo le realizarán una pequeño cuestionario al tiempo que le informarán de situaciones que contraindiquen la exploración. Es en este momento donde usted deberá informar de sus antecedentes quirúrgicos, si es portador de marcapasos, si tiene alergias conocidas o de las enfermedades que padece ya que pueden contraindicar la prueba o la administración intravenosa de contraste. Una vez leído y cumplimentado el cuestionario deberá firmar el consentimiento informado. Si el paciente es menor de edad o está incapacitado, serán sus padres o el tutor legal el que lo firme. El material de contraste utilizado para un examen de RM, denominado gadolinio, no contiene yodo y es poco probable (aunque posible) que cause una reacción alérgica, no obstante está contraindicada su administración en enfermos con insuficiencia renal grave, por lo que es muy importante que el radiólogo tenga conocimiento de si usted la padece. El embarazo no es una contraindicación absoluta para la realización de una RM, de hecho se realizan RM fetales para diagnosticar y poder tratar si se requiere problemas prenatales. Sin embargo la paciente tiene la obligación de informar sobre posibilidad y/o embarazo, ya que no es aconsejable realizar una RM durante el primer trimestre, ni administrar a menos que sea estrictamente necesario contraste intravenoso durante todo el embarazo. En el post-parto o durante la lactancia se puede realizar con toda tranquilidad la prueba, e incluso se puede administrar gadolinio, de todos modos es necesario que usted informe de esta situación y se le darán explicaciones más detalladas sobre su situación. Si sufre de claustrofobia (miedo a los espacios reducidos) o ansiedad, también debe comunicarlo e incluso si el médico lo considera oportuno pueden administrarle un sedante suave. Los obreros metalúrgicos y otros trabajadores que puedan tener objetos metálicos en los ojos probablemente deban someterse a una radiografía antes de la RM con el objetivo de descartar esta posibilidad, que contraindicaría la exploración de RM. Los tintes que se utilizan en los tatuajes también pueden contener hierro y calentarse durante la RM, pero rara vez esto representa un problema. Los empastes y aparatos dentales por lo general no se ven afectados por el campo magnético, pero pueden distorsionar imágenes del área facial o cerebral, de modo que el radiólogo debe tener conocimiento de esta situación. Es altamente aconsejable que los pacientes acudan a los centros para realizarse los exámenes de RM sin maquillaje, ya que contienen elementos metálicos que distorsionan las imágenes obtenidas.
¿Cómo se realiza?
Una vez realizado el cuestionario y firmado el consentimiento, procederán a realizarle la exploración. Usted se trasladará hacia la sala de exploración y se situará en la mesa de examen móvil. Se utilizarán unas tiras y un cabezal que lo ayudarán a permanecer inmóvil y mantener la posición correcta durante el procedimiento. Pequeños dispositivos que contienen las antenas capaces de emitir y recibir ondas de radio serán colocados alrededor o en forma adyacente al área del cuerpo que será estudiada. Si se requiere la utilización de material de contraste durante el examen, el personal técnico o de enfermería le colocará una vía intravenosa, habitualmente en el antebrazo, por donde en el momento adecuado le administraran gadolinio. Una vez preparado, el personal sanitario abandonará la habitación y comenzará la prueba. No debe preocuparse porque no quedará incomunicado ya que se le proporcionará un timbre para que en cualquier momento usted pueda avisar, y comunicarse con el técnico que podrá ver, escuchar y hablar con usted en todo momento mediante un interfono bi-direccional. Si el hecho de quedarse solo le produce ansiedad se puede permitir que un acompañante entre con usted y permanezca en la habitación durante la exploración. Es normal sentir que el área del cuerpo a estudiar esté ligeramente templada, pero si esto le incomoda, infórmeselo al radiólogo o técnico. Es importante que permanezca completamente inmóvil mientras se obtienen las imágenes, que por lo general duran pocos minutos. Usted se dará cuenta cuando están grabando las imágenes porque escuchará unos golpecitos o ruidos sordos cuando se activan las antenas que generan los pulsos de radiofrecuencia. Podrá relajarse entre las secuencias de imágenes, pero se le pedirá que en lo posible mantenga su posición. Para que este ruido no le incomode demasiado habitualmente se proporcionan unos tapones para los oídos. Muy pocos pacientes experimentan efectos secundarios al medio de contraste, incluyendo náuseas y dolor local y muy raramente se producen reacciones alérgicas mas graves. Cuando se completa el examen, le pedirán que espere un momento hasta que se valoren las imágenes, y se compruebe su validez. Se le retirará la vía intravenosa y abandonará la sala. Por lo general, el examen se finaliza en 30 minutos, el tiempo dependerá del tipo de estudio y las secuencias de imágenes que necesite. A los pacientes muy claustrofóbicos, discapacitados y en los niños, especialmente los menores de 6 años y por razones obvias les resulta muy difícil mantenerse inmóviles durante la prueba, hecho habitualmente imprescindible para el diagnóstico de su patología. En estos casos la resonancia magnética se puede realizar bajo sedación. La sedación se realizará por un médico anestesiólogo quien controlará en todo momento las constantes del paciente durante la exploración y posteriormente durante el periodo de reanimación. En este caso es imprescindible un ayuno de 6-8 horas previas al examen. Si no se ha usado sedación, no es necesario ningún período de recuperación. Puede reanudar sus actividades cotidianas y una dieta normal inmediatamente después del examen. Un radiólogo, médico específicamente capacitado para supervisar e interpretar los exámenes radiológicos, analizará las imágenes y enviará un informe firmado a su médico de cabecera o médico remitente, quien compartirá los resultados con usted.
Usos comunes de la RM en Neurorradiología
La exploración de RM en neurorradiología permite obtener un mejor contraste de las partes blandas, por lo que es más sensible que la TC en la detección de algunos tipos de lesiones, especialmente las que afectan el cerebro y la médula espinal. La RM de cabeza se lleva a cabo para diagnosticar:
Tumores cerebrales.
Anomalías del desarrollo del cerebro.
Anomalías vasculares de la cabeza (por ejemplo, aneurismas).
Enfermedades de los ojos y el oído interno.
Isquemia cerebral.
Enfermedad de la glándula hipofisaria.
Ciertas enfermedades inflamatorias del sistema nervioso, como la esclerosis múltiple.
Alteraciones cerebrales de origen metabólico.
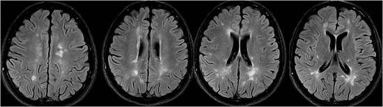
Resonancia Magnética cerebral. Lesiones típicas de esclerosis múltiple.
La RM de columna y médula se lleva a cabo para diagnosticar:
Detección de lesiones ligamentosas o del disco intervertebral en pacientes con lumbalgia o cervicalgia, asociada o no a dolores radiculares (dolor que se irradia por los brazos o piernas).
Estudio de las lesiones de la médula espinal en pacientes con traumatismos que afectan la columna.
Estudio de tumores de la medula espinal o de sus cubiertas.
Estudio de pacientes con sospecha de lesiones que afecten la función de la médula espinal (alteración motora o sensitiva de las extremidades superiores o inferiores).
Técnicas especiales de la RM en Neurorradiología
La exploración de RM en neurorradiología puede utilizar algunas técnicas especiales como son la espectroscopia, difusión, perfusión, angiografía, la tractografía y RM funcional que permiten obtener información metabólica, de movimiento molecular microscópico, de la hemodinámica cerebral, de las arterias y venas, de la estructura de las fibras cerebrales y de la actividad cerebral. Estas técnicas se emplean para el estudio de enfermedades vasculares, tumores, procesos neurodegenerativos y de forma previa a la cirugía cerebral para evitar lesionar zonas importantes del cerebro.

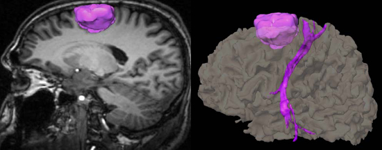
Tractografía por Resonancia Magnética.
Se muestra en color un tumor cerebral y su relación con las fibras motoras.

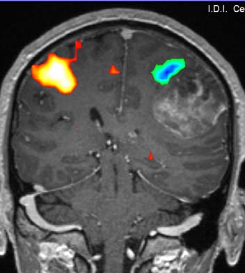
Resonancia Magnética cerebral funcional.
Se muestra en color las áreas del cerebro que se activan cuando se mueven las manos.
Angiografía por catéter
¿En qué consiste?
La arteriografía se basa también en los Rayos X. Consiste en inyectar un contraste directamente en las arterias y realizar a continuación radiografías que muestran las arterias y venas. Durante la angiografía por catéter, un tubo de plástico delgado (catéter), se inserta dentro de una arteria a través de una pequeña incisión en la piel (habitualmente en región femoral). Una vez que el catéter es guiado hasta el área que se examina, se inyecta material de contraste a través del mismo y se obtienen las imágenes mediante una pequeña dosis de radiación ionizante (rayos X) en diferentes proyecciones. Los avances técnicos actuales permiten digitalizar las imágenes que se obtienen, por lo que la cantidad de contraste a inyectar es mínima y la dosis de rayos X que recibe el paciente también se reduce de manera considerable.

Equipo de Angiografía.
Usos comunes
Los neurorradiólogos emplean este procedimiento para emitir diagnósticos tales como:
Identificar un aneurisma o una malformación arteriovenosa dentro del cerebro.
Detectar lesiones que estrechan las arterias cervicales o cerebrales.
Detectar lesiones en una o más arterias en pacientes con traumatismo.
Evaluar la vascularización de un tumor antes de una cirugía.
Lesiones vasculares medulares.
Pero además de estas finalidades diagnósticas, con estos equipos de angiografía, los neurorradiólogos intervencionistas pueden llevar a cabo intervenciones (procedimientos intervencionistas) con finalidad curativa. Los tratamientos intervencionistas que se realizan más habitualmente son:
Embolización de aneurismas.
Angioplastia de Carótidas.
Angioplastia intracraneal.
Infarto cerebral.
Embolización de malformaciones arteriovenosas.
Embolización de tumores.
Embolización medular.
Cifoplastia y kipoplastia.
Embolización de aneurismas
El tratamiento endovascular ( embolización ) con espirales desprendibles es una manera de tratamiento mínimamente invasiva de los aneurismas del cerebro. El aneurisma cerebral, una debilidad de la pared de la arteria, es una enfermedad grave. Si el aneurisma cerebral se rompe, ocasiona una hemorragia cerebral que puede causar la muerte o graves secuelas. En casos menos graves, el abombamiento de un aneurisma puede comprimir los nervios y el tejido cerebral circundante y causar parálisis, dolor de cabeza, dolor de cuello y de la parte superior de la espalda, náuseas y vómitos. La angiografía cerebral, la tomografía axial computarizada (TC) y la resonancia magnética nuclear (RM) pueden detectar los aneurismas cerebrales antes de que se rompan.
Los neurorradiólogos intervencionistas realizan el tratamiento endovascular (embolización) con una espiral desprendible para controlar el riesgo de que se rompan y produzcan una hemorragia cerebral. El cierre de los aneurismas se realiza a través de un tubo de plástico o catéter que se introduce en una arteria de la pierna. Este catéter se pasa por el cuerpo hasta llegar al lugar del aneurisma. Una vez dentro del aneurisma, se colocan a través del mismo una o más espirales metálicas (de platino) que se introducen en el interior del aneurisma con el objeto de cerrarlo.

Dibujo explicativo de la técnica utilizada para
el cierre mediante espirales de un aneurisma cerebral.

Angiografía cerebral de un aneurisma antes y después de su cierre con espirales.
La angioplastia
La angioplastia y stent vascular de estenosis arteriales, la oclusión con espirales desprendibles de aneurismas cerebrales y la oclusión de malformaciones arteriovenosas.
La angioplastia (también llamada angioplastia con balón) con colocación de un stent o prótesis vascular son procedimientos mínimamente invasivos realizados para mejorar el flujo de sangre en las arterias del cuerpo.
En la angioplastia, el neurorradiólogo intervencionista hace llegar a la arteria estrechada u obstruida un catéter con un balón en la punta; este balón se infla para abrir el vaso sanguíneo, y luego se desinfla para sacarlo de la arteria. La colocación posteriormente de un stent o prótesis vascular, consiste en la colocación de un tubo de malla de alambre (stent) en la arteria recién abierta. El stent es un dispositivo permanente que ayuda a que la arteria se mantenga abierta después de la angioplastia. La causa más común del estrechamiento (estenosis) y la obstrucción de las arterias es la aterosclerosis (endurecimiento de las arterias).

Angioplastia con colocación de stent en una arteria del cuello (arteria carótida interna) que estaba estrechada.
La aterosclerosis se asocia con enfermedades del corazón, pero puede afectar arterias de cualquier parte del cuerpo, incluyendo las del cerebro y cuello que son las que abastecen de oxígeno el cerebro. Es un proceso gradual de acumulación de colesterol y otras grasas en las paredes de las arterias. Estas placas forman una barrera que limita el flujo de sangre en las arterias hacia los tejidos y órganos. Otras barreras al flujo sanguíneo adecuado son los coágulos o placas que se desprenden de la pared del vaso sanguíneo y quedan encajadas en una arteria.
Cuando un coágulo de sangre, una placa o tejido cicatrizal hace que la arteria se estreche u obstruya totalmente, la circulación sanguínea queda limitada y los órganos y tejidos que esa arteria debe alimentar no reciben suficiente oxígeno, produciéndose por ejemplo los infartos.
También se tratan malformaciones arteriovenosas, una enfermedad vascular intracraneal congénita poco común. En estos casos, las arterias y venas del cerebro no están conectadas mediante los capilares normales, sino por medio de conexiones anormales llamadas nido angiomatoso Estas pueden drenar toda la sangre de las arterias antes de que se haya completado la circulación cerebral. El intercambio anormal de sangre entre las arterias y las venas puede producir dolor de cabeza, hemorragias, convulsiones y derrame cerebral, así como síntomas neurológicos que afectan la memoria, el movimiento, el habla y la vista. Para su cierre se utiliza un material que se solidifica en el nido angiomatoso.