« Todos los casos
Caso del mes Enero 2026
Descripción
Autores
Javier Pardo Maiza, Joan Carreres Polo, David Castro Vidal, Pablo García Verdú, Arturo Armiñana González. Hospital universitario y Politécnico La Fe, Valencia.
Historia Clínica
Paciente mujer de 32 años que acude al servicio de urgencias del hospital por cefalea, disartria y hemihipoestesia faciobraquial izquierda fluctuante, de varios días de duración.
Leyendas

Figura 1. Imágenes A y B: cortes transversales de TC sin contraste en ventana de parénquima. Ventana de hueso en imagen C.
Hallazgos: Lesión focal de contornos irregulares e hiperdensa respecto al córtex cerebral, de aparente localización intraaxial, en región córtico-subcortical del lóbulo parietal derecho (flecha blanca en A y B). Se acompaña de edema vasogénico en sustancia blanca subcortical y de centros semiovales adyacentes (asterisco). En la ventana ósea no se observan signos de erosión ni hiperostosis ósea apreciables (flecha hueca en C).

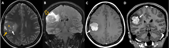
Figura 2. Imagen A corte transversal potenciado en T2 FSE, imagen B FLAIR coronal, imagen C T1 SE e imagen D reconstrucción coronal de secuencia 3D T1 gradiente tras administración de contraste.
Hallazgos: Lesión isointensa al córtex cerebral localizada en zona subcortical anterior del lóbulo parietal derecho (*) con LCR separando su borde medial del parénquima adyacente (flechas blancas en A, C y D), correspondiente a signo de la hendidura de LCR. También se observan zonas de desplazamiento de sustancia gris sin expansión de sustancia blanca (flecha naranja en A). Estos hallazgos son indicativos de lesión extraaxial. No obstante, en secuencia FLAIR la lesión está casi completamente rodeada de edema vasogénico (flecha hueca en B) y tras la administración de contraste se visualiza captación intensa de contraste sin lograr demostrar conexión meníngea (ausencia de cola dural en imágenes C y D).
Diagnóstico
MENINGIOMA DEL SURCO CEREBRAL (EXTRADURAL)
El meningioma del surco cerebral plantea un reto diagnóstico. Debe demostrarse su localización extraaxial ya que puede simular tanto por TC como mediante RM una lesión intraaxial. Las características que nos dan la clave de la localización extraaxial son el signo de la hendidura de líquido cefalorraquídeo que rodea al tumor y lo separa del surcos, la presencia de sustancia gris entre la masa y la sustancia blanca y demostrar cualquier dependencia persistente de la dura de la convexidad en el estudio con contraste (signo de la cola dural).
Los meningiomas ectópicos sin conexión dural probablemente provienen de migración de células meningoteliales ectópicas y pueden asentar en múltiples localizaciones, como la cisura de Silvio, la cisura coroidea y los núcleos de la base.
En ocasiones, los signos de extraaxialidad no son evidentes, y en estos casos el principal diagnóstico diferencial deberá realizarse con lesiones cerebrales intraparenquimatosas de localización periférica. En el rango de edad de nuestra paciente se incluirían:
- Xantoastrocitoma pleomórfico. Son tumores corticales con componente quístico y marcada captación del componente sólido. Pueden presentar cola dural y asociar remodelado de la tabla ósea interna adyacente.
- Ganglioglioma. Se presenta como un nódulo sólido con componente quístico asociado. El realce del componente sólido es menos intenso que el del xantoastrocitoma pleomórfico y entre un 30 un 50% presentan calcificaciones.
- Oligodendroglioma. Localización intraaxial córtico-subcortical, con patrón de realce variable y calcificaciones entre un 70 y 90%, pudiendo contener áreas de hemorragia intralesional.
Referencias:
- Ohba S, Abe M, Hasegawa M, Hirose Y. Intraparenchymal Meningioma: Clinical, Radiologic, and Histologic Review. World Neurosurg. 2016 Aug;92:23-30. doi: 10.1016/j.wneu.2016.04.098. Epub 2016 May 4. PMID: 27155381.
- Ramirez-Grueso R, Patino-Ladino SI, Amortegui-Beltran JA, Rios JL, Estrada-Duque L, Arias J. Intraparenchymal Meningioma. J Med Cases. 2021 Jan;12(1):32-36. doi: 10.14740/jmc3592. Epub 2020 Nov 18. PMID: 34434425; PMCID: PMC8383642.
- Jadik S, Stan AC, Dietrich U, Pietilä TA, Elsharkawy AE. Intraparenchymal meningioma mimicking cavernous malformation: a case report and review of the literature. J Med Case Rep. 2014 Dec 29;8:467. doi: 10.1186/1752-1947-8-467. PMID: 25547419; PMCID: PMC4320455.