Caso
Cualquier miembro de la SENR puede participar en esta sección enviando casos clínicos. Os animamos a colaborar en la actualización y publicación de nuevos casos.
La SENR no se hace responsable del contenido de los casos, cuya veracidad y calidad es responsabilidad de los autores.
Caso del mes Junio 2018
« Todos los casos Autores Dra. Constanza Martínez Stocker, Servicio de Radiodiagnóstico, Hospital...
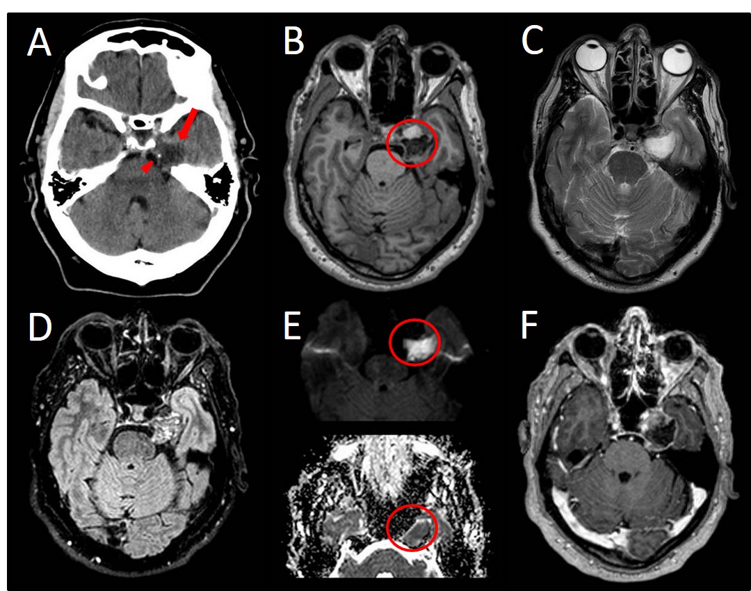
Caso del mes Mayo 2018
« Todos los casosAutores Dr. Pablo Naval Baudín – Departamento de Neurorradiología, Servicio de...
Caso del mes Abril 2018
« Todos los casosAutores Ruth Expósito Díaz – Servicio de Radiodiagnóstico-Hospital Dr....
Caso del mes Marzo 2018
« Todos los casosAutores SANDRA DELGADO SAIZ – Servicio de Radiodiagnóstico – Hospital...
Caso del mes Febrero 2018
« Todos los casosAutores Dr. Jaime Salvador García. Hospital Universitario Doctor Peset...
Caso del mes Enero 2018
« Todos los casosAutores Dra. Garazi Elizundia López. Servicio de Radiodiagnóstico Hospital...
Caso del mes Diciembre 2017
« Todos los casosAutores Dra. José Antonio González Nieto. Hospital Universitario Dr. Peset...
Caso del mes Noviembre 2017
« Todos los casosAutores Dra. Isabel García Chaume. Hospital Universitario Dr. Peset...
Caso del mes Octubre 2017
« Todos los casosAutores Dra. Jimena Angarita Beltrán. Servicio de Radiodiagnóstico, Complejo...
Caso del mes Septiembre 2017
« Todos los casosAutores Dra. Tania Rocha Íñigo. Radiodiagnóstico, Hospital Universitario Virgen...
Caso del mes Agosto 2017
« Todos los casosAutores Dr. Gerardo Ayala Calvo. Servicio de Radiodiagnóstico, Sección de...
Caso del mes Julio 2017
« Todos los casosAutores Dr. Luis Quintana Barriga. Radiodiagnóstico, Hospital Universitario...









